
A Sheffield man has mystified the medical profession following the miraculous healing of a huge tumor on his face.
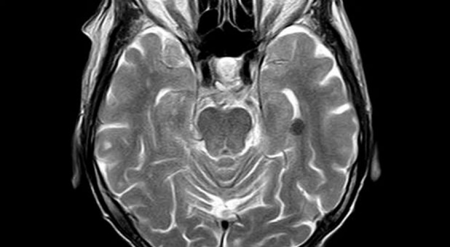
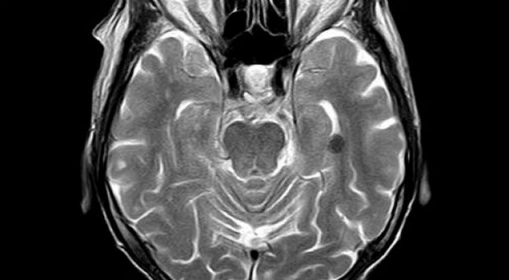
Ken Gorman suffered excruciating pain after a small lump, discovered at the end of May 2013, grew bigger and bigger. Doctors prescribed tablets for the pain and sent him to Rotherham General Hospital for investigation, where an MRI scan found three tumors (or three broken sections of a tumor) wrapped around the central nerve in the side of his face.
Surgery was arranged for early July. Meanwhile, he heard of a healing meeting at Hull City Hall led by evangelist Nathan Morris but was told there was no chance of getting tickets.
Wife Annie put out a Twitter post about her husband's need for prayer, and they decided to go along anyway—with Annie driving as Ken was in too much pain.
And thanks to a response via Twitter, they found seats on the third row.
"There seemed to be hundreds going forward for prayer," Ken recalled. "But eventually a friend helped get me to the front.
"Within the next 10 days, the huge swelling on my face had receded, all pain was gone and I was off all medication. I rang the hospital and explained—and the operation was postponed until I saw the surgeon.
"After another scan, he found that the tumors had disappeared without trace, and the operation was cancelled! The surgeon and nurses were speechless when I told them how I was healed. I have been called back for an annual check-up since then, and there is no sign of any tumor. Hallelujah, thank you Jesus!"
Ken adds that, during the lead-up to his healing, he wasn't just relying on the evangelist's prayer, but also on his personal faith.
"I remembered a Sunday message on how Jesus told us to 'speak to the mountain' in praying for seemingly impossible situations (Mark 11.22-24) and, as this was certainly my 'mountain,' I started to immerse myself in the promises of God as I stood in front of the mirror each day speaking to my mountain in the name of Jesus."
There is another Scripture passage that speaks clearly into this situation: "My son, attend to my words; incline your ear to my sayings. Do not let them depart from your eyes; keep them in the midst of your heart; for they are life to those who find them, and health to all their body" (Prov. 4:20-22).